歯科医監修|前歯がギザギザする原因と治療・予防のすべて
最終更新日:2026年04月01日
医療法人社団スマイル会 ふかさわ歯科クリニック篠崎
(篠崎町7丁目)
歯の先端がギザギザしている原因と対処法
前歯の先端がギザギザしている状態は、多くの方が一度は気づく所見ですが、その性質は年齢や原因によって大きく異なります。
正常な形態である場合と、歯質の異常や機能的問題のサインである場合を正しく見極めることが重要です。
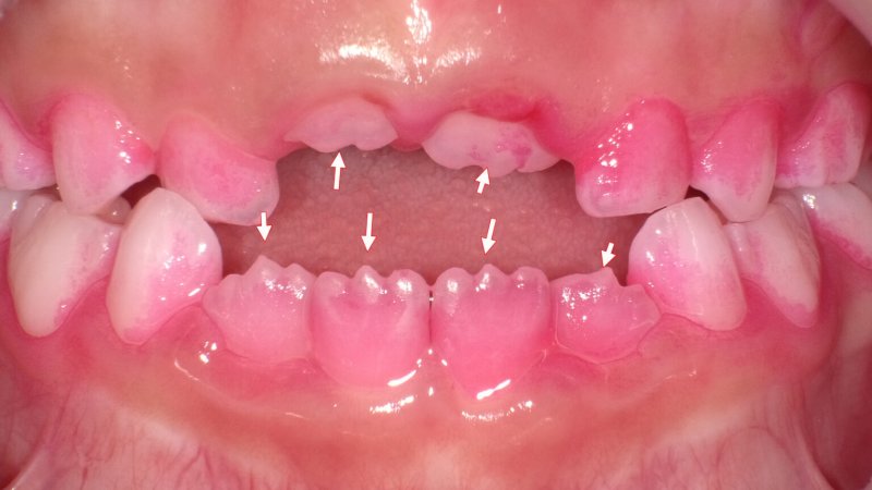
小児にみられる生理的なギザギザ(マメロン)
永久歯の萌出直後に認められる切縁の凹凸は「マメロン(切縁結節)」と呼ばれ、生理的な形態です。
咀嚼や咬合接触により自然に摩耗し、通常は数ヶ月から数年で平滑化します。疼痛や機能障害がなければ治療の必要はありません。
成人におけるギザギザは異常の可能性
一方、成人の歯にギザギザが生じている場合、多くは後天的な歯質の摩耗や破折が原因です。
主な要因は以下の通りです。
- ブラキシズム(歯ぎしり・食いしばり)による咬耗
- 酸蝕症(酸性飲食物や胃酸の影響)による脱灰
- 不正咬合による局所的な過重負担
- う蝕や歯周病による歯質の崩壊
- エナメル質形成不全などの先天異常
これらによりエナメル質が失われると、象牙質の露出や切端の不整が生じ、知覚過敏や破折リスクが高まります。
放置によるリスク
ギザギザの状態を放置すると、以下の問題が生じる可能性があります。
- 冷温刺激に対する知覚過敏
- 歯の欠損・破折
- プラークの停滞によるう蝕・歯周病の進行
- 審美性の低下
治療方針
治療は原因と症状に応じて選択されます。
- 軽度の場合:エナメルプラスティ(形態修正)
- 欠損がある場合:コンポジットレジン修復
- 審美改善:ラミネートベニアやクラウン
- ブラキシズム対策:ナイトガード装着
- 咬合異常:矯正治療
予防のポイント
日常的な予防として以下が重要です。
- 適切なブラッシングとフッ化物の活用
- 酸性飲食物の摂取習慣の見直し
- 歯ぎしり・食いしばりへの対策
- 定期的な歯科検診による早期発見
歯のギザギザは、正常な発育過程で見られることもあれば、歯のダメージを示す重要なサインである場合もあります。特に成人で変化を認めた場合は、早期に歯科で評価を受けることが望まれます。
基本情報
- 事業所名
- 医療法人社団スマイル会 ふかさわ歯科クリニック篠崎
- ふりがな
- いりょうほうじんしゃだんすまいるかい ふかさわしかくりにっくしのざき
- 代表者名
- 深沢 一
- ふりがな
- ふかさわ はじめ
- 営業時間
-
(月~金)9:00 〜 13:00 14:30 〜 19:30
(土)8:00 〜 13:00 14:00 〜 18:00
(日)8:00 〜 13:00 14:00 〜 17:30 - 定休日
- 第三金曜日の午前中は院内研修のため休診です。
- 電話番号
- 03-3676-1058
- Webサイト
- https://2525.biz/
- 所在地
- 〒133-0061
江戸川区篠崎町7丁目 27-23-ISIビル千葉銀行3F - アクセス
- 都営新宿線篠崎駅南口徒歩1分です。ローターリー前の千葉銀行が1階にあるビルの3階です。京成バス、都営バスなら都営新宿線篠崎駅南口バス停下車し、徒歩1分です。









SNSでシェアする