-

2026年01月31日
そば処丸花
2月限定メニュー!「肉豆腐あんかけ」
-

2026年01月30日
Tide行政書士事務所
くらし応援情報!特定在留カードが始まります
-

2026年01月30日
株式会社トーワピュア
安否確認用の黄色いハンカチを販売しています
-

2026年01月30日
(株)写真の高橋
★プロフィール写真,江戸川区写真スタジオで最高ね!★
-

2026年01月29日
株式会社 ウィン
オリジナルTシャツ 店舗があって安心!
-

2026年01月29日
ツインズ 株式会社
花粉 時期の部屋干し臭の除菌 消臭 !!
-

2026年01月29日
医療法人社団スマイル会 ふかさわ歯科クリニック篠崎
入れ歯は何歳から必要?年代別の使用率と選び方
-

2026年01月29日
Tide行政書士事務所
くらし応援情報!【豆知識】現在戸籍と除籍の違い
-

2026年01月29日
アイエスオーミトベ事務所
ISO9001規格の改訂版について
-

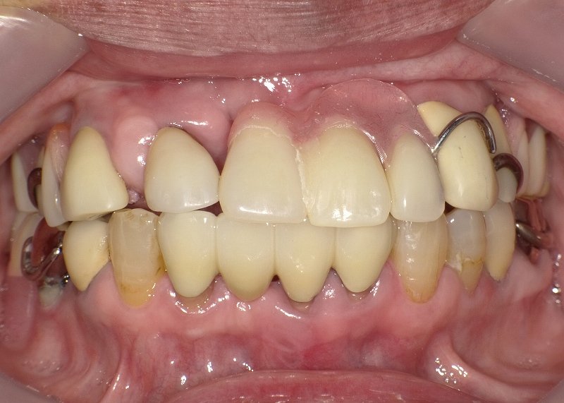
2026年01月28日
医療法人社団スマイル会 ふかさわ歯科クリニック篠崎
部分入れ歯はどこまで目立たなくできる?保険と自費の違い
-

2026年01月28日
Tide行政書士事務所
くらし応援情報!戸籍の保存期間
-

2026年01月27日
株式会社パートナー
プレス部門フロア改修で仕上げ工程を効率化
-

2026年01月27日
医療法人社団スマイル会 ふかさわ歯科クリニック篠崎
口臭の原因と対策を解説|種類・セルフチェック・治療法
-

2026年01月27日
Tide行政書士事務所
離婚後の戸籍のパターン,よくわかる離婚手続
-

2026年01月26日
医療法人社団スマイル会 ふかさわ歯科クリニック篠崎
ドブ臭い口臭の原因とは?歯周病・歯石・全身疾患まで解説
-

2026年01月26日
Tide行政書士事務所
くらし応援情報!この遺言なら「検認」要りません
-

2026年01月25日
須山特殊硝子株式会社(すやまとくしゅがらす)
角R付き板
-

2026年01月25日
医療法人社団スマイル会 ふかさわ歯科クリニック篠崎
胃の不調と口臭の関係|誤解されやすい原因を専門的に解説
-

2026年01月25日
Tide行政書士事務所
くらし応援情報!遺言がないとどうなる?
-

2026年01月25日
科学啓蒙作家の塾「田井塾」
「田井塾」定款最終調整 :「文理能力を育てる会」(9)
-

2026年01月24日
株式会社 ウィン
選挙用ブルゾン/ジャンパー オリジナルプリント 短納期
-

2026年01月24日
電子ピアノネット買取販売
販売開始 しました
-

2026年01月24日
電子ピアノネット買取販売
販売開始 しました
-

2026年01月24日
中丸鍼治療院
頭痛に対する鍼治療 研修報告






