当院の特徴
インプラント治療
当院は、日本口腔インプラント学会の専門医・指導医が在籍する信頼の歯科医院です。難症例や多数歯のインプラント治療において豊富な実績があり、他院で断られたケースにも対応しています。
特に、サイナスリフトや骨造成といった高度な治療技術を駆使し、患者様一人ひとりの状況に最適な治療法をご提供します。専門的な知識と技術で、複雑な症例にも安心してお任せいただけます。
詳細は江戸川区篠崎のインプラント専門外来をご覧ください。

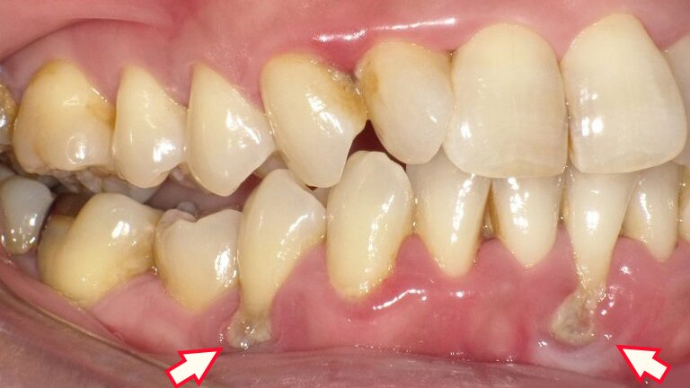
歯周病治療のエキスパート
当院は、歯周病および重度歯周病の治療に特化した専門的な歯科医院です。最新の歯槽骨再生療法をはじめ、歯周外科・フラップ手術や3DS除菌療法など、多岐にわたる治療法をご提供しています。
熟練した歯科衛生士によるメインテナンスや歯石除去により、日常的なケアも万全です。さらに、歯周内科治療や遺伝子診断を取り入れ、個々の患者様に最適な治療プランを提供します。
歯周病治療の全てをお任せください。私たちは、あなたの口腔健康を守るために最高の技術とケアを提供します。
詳細は歯周病専門外来をご覧ください。

予防歯科の重要性を知るあなたへ
当院では、予防歯科を重視し、専用のメンテナンスルームをご用意しております。虫歯や歯周病の予防に最適な環境で、エアフローやPMTC(プロフェッショナル・メカニカル・トゥース・クリーニング)によるクリーニングを行います。
定期的なメンテナンスにより、口腔内の健康を維持することができ、結果として生涯医療費の削減にもつながります。経験豊富な歯科衛生士が丁寧にケアを行い、あなたの歯を守ります。
虫歯や歯周病から大切な歯を守り、健康な笑顔を維持するために、ぜひ当院の予防歯科サービスをご利用ください。
詳細は予防歯科・歯科健診をご覧ください。

お子様の笑顔を守る小児歯科
当院は、小児歯科専用診療室とキッズルームを完備し、子連れの方も安心してご来院いただける環境を整えています。保育士が常駐しており、お子様のケアを万全にサポートします。
私たちは、小児口腔機能発達不全症の早期発見・治療に力を入れており、TSD法(Tell-Show-Do法)を用いた、子供の気持ちに配慮した治療を行っています。これにより、お子様がリラックスして治療を受けられるよう努めています。
取り組み1:歯医者の雰囲気に慣れてもらう
病院嫌いのお子様のために、当院では「友達の家に来たような」アットホームな内装を採用し、病院特有の匂いや音を軽減する工夫をしています。
取り組み2:可能な限り痛くない治療
お子様が歯医者嫌いにならないように、無痛治療を徹底しています。
表面麻酔:針を刺す前に麻酔をかけ、痛みを軽減。
極細の針:最も細い針を使用し、痛みを最小限に。
電動麻酔注射:注入速度を一定に保ち、痛みを軽減。
取り組み3:歯並びの改善
現代の子供たちは顎の成長が十分でなく、歯並びが悪くなることが多いです。当院では、「プレオルソ」というマウスピース型の装置を使った矯正治療を行っています。この装置は日中1時間と就寝時のみの装着で、口周りの筋肉を整え、歯並びを改善します。
女性ドクターの在籍
当院には複数の女性ドクターが在籍しており、安心して治療を受けられます。
治療終了後のプレゼント
治療を頑張ったお子様には、ご褒美を提供しています。これを楽しみに来院するお子様も多いです。
小児矯正治療
小児矯正治療について詳しく知りたい方は、「子どもの歯並び改善」をご参照ください。当院では小児歯科専門医と矯正歯科認定医が担当し、お子様の歯並びを改善します。
これらの取り組みにより、当院ではお子様も親御さんも安心して通える歯科医院を目指しています。
お子様の健康な歯の発達をサポートし、楽しい歯科体験を提供することが私たちの使命です。ぜひ、お子様の歯の健康管理に当院をご利用ください。
詳細は小児歯科をご覧ください。

魅力的な笑顔を手に入れるための審美歯科治療
美しい笑顔は、健康的で自信に満ちた印象を与えます。当院では、最新の技術と高品質な素材を使用した審美歯科治療を提供しています。以下のような治療方法を駆使して、患者様一人ひとりに最適な美しい笑顔をお届けします。
白い被せ物・詰め物
虫歯治療後も自然な見た目を保ちたい方に、セラミックやジルコニアなどの白い被せ物や詰め物をおすすめします。これらの素材は天然の歯に近い色合いと透明感を持ち、審美的にも優れています。
セラミックとジルコニア
セラミックやジルコニアは、高い強度と美しさを兼ね備えた素材です。オールセラミッククラウンやジルコニアクラウンを使用することで、天然の歯と見分けがつかないほど自然な仕上がりを実現します。
メタルボンド
メタルボンドクラウンは、内側に金属を使用し、その上にセラミックを焼き付けたクラウンです。強度と審美性を兼ね備え、奥歯などの負荷がかかる部分にも適しています。
ラミネートベニア
歯の表面を削らずに薄いセラミックのシェルを貼り付けるラミネートベニアは、歯の色や形を改善するのに最適です。短期間で美しい歯並びと白さを実現します。
セラミックインレー・Eマックスインレー・ジルコニアインレー
虫歯治療後の詰め物として、セラミックインレーやEマックスインレー、ジルコニアインレーをご用意しています。これらは強度と審美性が高く、長持ちするのが特徴です。
ホワイトニング
削らずに歯の色を白くするホワイトニングは、当院の人気メニューです。最新のホワイトニング技術で、短時間で効果的に歯を白くすることができます。
アイコン
歯を削らずに初期虫歯やホワイトスポットを改善するアイコン治療も行っています。審美的な問題を最小限の侵襲で解決します。
歯茎の変色治療
ブラックマージンやメタルタトゥー、歯茎のメラニン色素沈着など、歯茎の変色にも対応します。自然な歯茎の色を取り戻すことで、より美しい笑顔を実現します。
歯茎下がりの治療
歯茎下がりの治療も行っており、歯肉を健康で美しい状態に保つお手伝いをいたします。
保険の審美修復
経済的な負担を軽減するために、保険の審美修復もご提案しています。保険適用範囲内で可能な限り美しい仕上がりを追求します。
当院では、患者様のご希望やライフスタイルに合わせた最適な審美歯科治療をご提案いたします。まずはお気軽にご相談ください。あなたの笑顔が輝くお手伝いをさせていただきます。
詳細は審美歯科をご覧ください。














SNSでシェアする