-

2025年10月25日New
マキノ写真スタジオ
◆【七五三】衣裳展示会開催中!
-

2025年10月25日New
(株)写真の高橋
★中学 高校 大学受験願書写真,髪型, 眼鏡,服装?★
-

2025年10月25日New
(株)写真の高橋
★江戸川区,ビジネスプロフィール写真おすすめ,小岩★
-

2025年10月25日New
有限会社黒鹿三 K・ビジョン
Kビジョンは新しく店内改装オ-プンしました‼
-

2025年10月25日New
科学啓蒙作家の塾「田井塾」
「田井塾」:中小企業庁講師-科学啓蒙作家としての義務-
-

2025年10月24日New
ツインズ 株式会社
エンゼルケア専用:特殊シリンジ針 製作ならお任せ下さい
-

2025年10月24日New
中丸鍼治療院
眼科疾患に対する鍼治療 研修報告
-

2025年10月24日New
医療法人社団スマイル会 ふかさわ歯科クリニック篠崎
歯間ブラシとフロスの違いを徹底比較!どっちを使えばいい
-

2025年10月24日New
Tide行政書士事務所
くらし応援情報!東京都シルバーパス
-

2025年10月24日New
船堀シネパル
富士山と、コーヒーと、しあわせの数式
-

2025年10月24日New
こんや鍼灸治療室
不安と幸せ
-

2025年10月24日New
(株)写真の高橋
★七五三写真 小岩写真館でクーポン楽し!衣装無料★
-

2025年10月24日New
(株)写真の高橋
★中学, 高校大学受験写真おすすめ, ゲンがいい~!★
-

2025年10月24日New
科学啓蒙作家の塾「田井塾」
「田井塾」お知らせ:「英検パートナー塾」として
-

2025年10月23日New
医療法人社団スマイル会 ふかさわ歯科クリニック篠崎
デンタルフロスの使い方ガイド|種類・選び方・頻度
-

2025年10月23日New
Tide行政書士事務所
くらし応援情報!親子で楽しく学ぶ収納ワークショップ
-

2025年10月23日New
還元陶板浴 八三郎
血流観察会のご案内
-

2025年10月23日New
(株)写真の高橋
★遺影写真速成,古写真再生復元あなたの許に蘇ります♪★
-

2025年10月23日New
(株)写真の高橋
★プロフィール写真は江戸川区,ビジネスで自信つく★
-

2025年10月23日New
科学啓蒙作家の塾「田井塾」
「田井塾」実験:夢実践★心の泉★
-

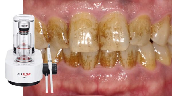
2025年10月22日New
医療法人社団スマイル会 ふかさわ歯科クリニック篠崎
エアフローとは?痛みの少ない最新の歯のクリーニング法
-

2025年10月22日New
Tide行政書士事務所
くらし応援情報!駐輪場の定期利用
-

2025年10月22日New
株式会社大由建設
飛行機で医者が乗っている確率
-

2025年10月22日New
(株)写真の高橋
★ビジネスプロフィール写真は江戸川区,写真の髙橋★






