-

2026年01月12日
Tide行政書士事務所
公正証書作成のながれ,よくわかる離婚手続
-

2026年01月12日
(株)写真の高橋
★成人式写真,ペットと一緒に!クーポン楽し★
-

2026年01月11日
株式会社 ウィン
演説などを行う選挙運動ではオリジナルプリントが必須!
-

2026年01月11日
医療法人社団スマイル会 ふかさわ歯科クリニック篠崎
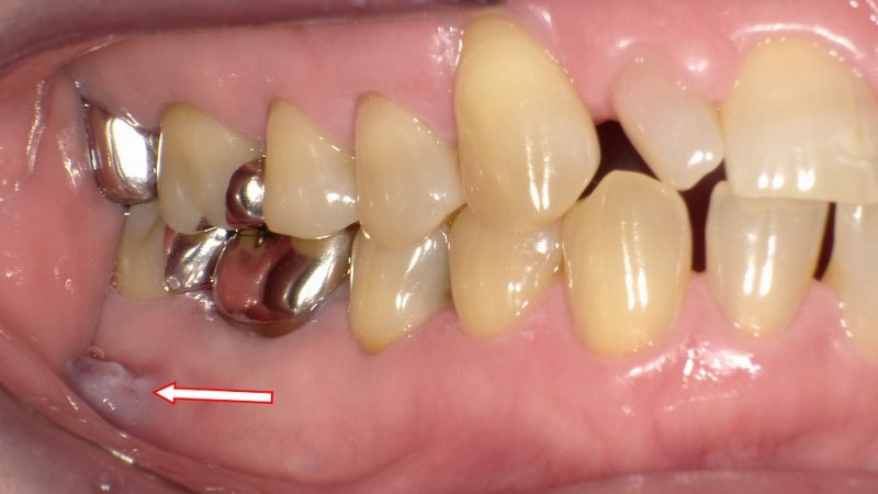
歯のブリッジで後悔しない|メリット・デメリットと選び方
-

2026年01月11日
Tide行政書士事務所
くらし応援情報!【相続】戸籍の束が不要になります
-

2026年01月10日
腰痛肩こり整体院 / 元気の出る館
逆算するのを忘れていた!
-

2026年01月10日
医療法人社団スマイル会 ふかさわ歯科クリニック篠崎
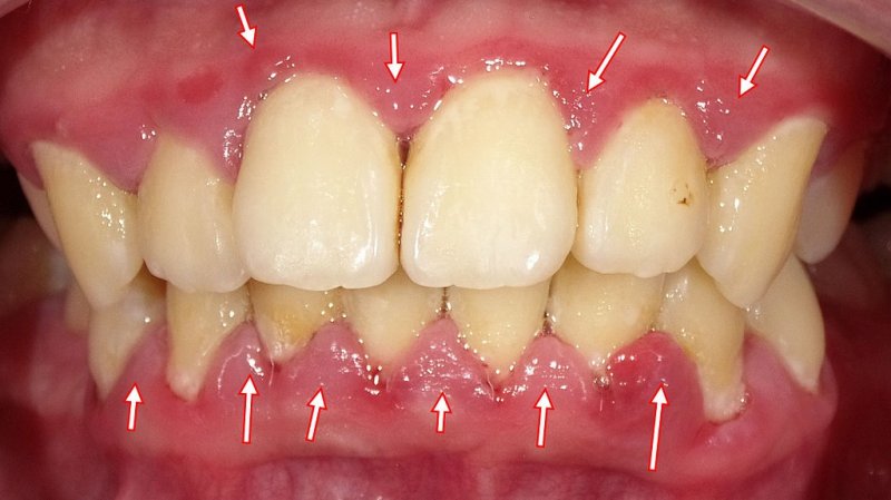
突然歯茎が腫れたときに考えるべき原因と正しい対処法
-

2026年01月10日
Tide行政書士事務所
公正証書と公証人のご紹介,よくわかる離婚手続
-

2026年01月10日
(株)写真の高橋
★成人式写真,限定特典,!衣装無料★ペットも
-

2026年01月09日
江戸川パソコンおたすけ隊
Windows11~XP対応|修理・データ救出致します
-

2026年01月09日
医療法人社団スマイル会 ふかさわ歯科クリニック篠崎
歯が欠ける原因と対処法|虫歯・歯ぎしり・外傷まで解説
-

2026年01月09日
Tide行政書士事務所
くらし応援情報!【産廃】講習会,申込のコツ
-

2026年01月09日
船堀シネパル
てっぺんの向こうにあなたがいる
-

2026年01月08日
医療法人社団スマイル会 ふかさわ歯科クリニック篠崎
歯ぎしり(ブラキシズム)とは?原因・症状・治療法を解説
-

2026年01月08日
株式会社大由建設
曲がる太陽電池
-

2026年01月08日
Tide行政書士事務所
別居条件のメルクマール,よくわかる離婚手続
-

2026年01月07日
電子ピアノネット買取販売
買取事例
-

2026年01月07日
医療法人社団スマイル会 ふかさわ歯科クリニック篠崎
歯茎出血の原因とは|歯周病だけではない注意すべきサイン
-

2026年01月07日
Tide行政書士事務所
くらし応援情報!【古物商】中古品を販売するには?
-
2026年01月07日
株式会社パソコンライフ
先着20名限定 入会金無料 キャンペーン
-

2026年01月06日
株式会社 ウィン
オリジナルプリントなら激安 短納期のビジュアルコイワ
-

2026年01月06日
ツインズ株式会社
ペットの機嫌が良くなる消臭剤!?
-

2026年01月06日
Tide行政書士事務所
離婚条件のメルクマール,よくわかる離婚手続
-

2026年01月06日
(株)写真の高橋
★成人式写真江戸川,ペットと一緒に! クーポン楽しみ★






